


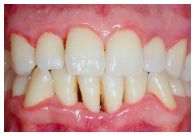
L’orthodontie invisible corrige l’alignement dentaire grâce à des aligneurs transparents, discrets et amovibles. Cette solution moderne permet d’améliorer le sourire sans appareils métalliques visibles.
Le traitement est planifié numériquement pour assurer des mouvements dentaires précis et progressifs.
Une solution discrète et confortable.
Redressez vos dents en toute discrétion.

Soins préventifs, esthétiques, chirurgicaux et traitements dentaires spécialisés.
Une consultation tous les six mois est généralement recommandée.
Oui, nous acceptons plusieurs assurances selon votre couverture santé.
Un bilan complet, diagnostic précis et plan de traitement personnalisé.
Oui, nous assurons une prise en charge rapide des urgences dentaires.
Nous prenons toujours soin de votre sourire
(+212) 0524-205043
Cabinet dentaire du Dr Lamrini Saad, chirurgien dentiste – implantologue diplômé de la Faculté Internationale de Rabat. Nous vous proposons des soins modernes, sécurisés et personnalisés pour préserver durablement votre santé bucco-dentaire.
© 2026 All right reserved.