

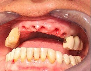
Les prothèses dentaires remplacent les dents absentes afin de restaurer la mastication, la phonation et l’esthétique du sourire. Elles peuvent être fixes ou amovibles selon les besoins.
Chaque prothèse est conçue sur mesure afin d’assurer confort, stabilité et harmonie naturelle.
Une prothèse adaptée améliore qualité de vie et confiance.
Retrouvez confort et fonctionnalité au quotidien.

Soins préventifs, esthétiques, chirurgicaux et traitements dentaires spécialisés.
Une consultation tous les six mois est généralement recommandée.
Oui, nous acceptons plusieurs assurances selon votre couverture santé.
Un bilan complet, diagnostic précis et plan de traitement personnalisé.
Oui, nous assurons une prise en charge rapide des urgences dentaires.
Nous prenons toujours soin de votre sourire
(+212) 0524-205043
Cabinet dentaire du Dr Lamrini Saad, chirurgien dentiste – implantologue diplômé de la Faculté Internationale de Rabat. Nous vous proposons des soins modernes, sécurisés et personnalisés pour préserver durablement votre santé bucco-dentaire.
© 2026 All right reserved.